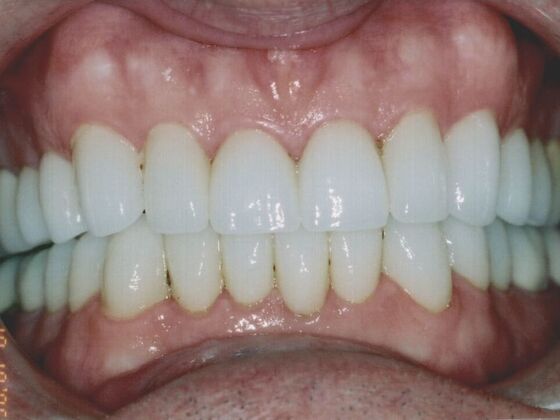
Full Mouth Rehabilitation

Dr. Van Slate

Dr. Jon Marc Van Slate Augusta Drive Dental Care

Dr. Van Slate and his team are dedicated to upholding the highest standards in dental care. They are affiliated with several prestigious organizations:

  • American Academy of Cosmetic Dentistry
  • Academy of General Dentistry
  • American Dental Association
  • American Academy of Implant Dentistry
  • IAPA-International Association of Physiologic Aesthetics

To schedule your consultation, contact us online or call us today at (713) 783-1993.

Contact Us Today

Rate, Review & Explore

Social Accounts Sprite